Emergency Orthopedics - all the joints!

For more anatomical sketches from Leonardo da Vinci, click here 

Orthopaedics

I particularly enjoy orthopedics (or orthopaedics if you prefer the predominant British spelling first coined by Dr. Nicolas Andry, actually a french physician, who introduced the word in his 1741 book Orthopaedia where he aimed to show methods to correct deformities in children). The word is derived form the Greek for "straight" and "child," although the field has grown beyond that of childhood fractures. My interest is primarily based on my own history of injuries, many as a child (the banner image is actually an MRI of my own knee above), and from my undergraduate study in kinesiology (the study of human movement) which I stumbled into as a nieve freshman.

In an attempt to make ortho easy, I am going to give you what you need to properly document an exam, and then from there see why you need to document and test as such in order not to miss anything (as well as pick up on some subtle diagnoses). We are going to proceed from a top down approach. I'm skipping the neck and was going to skip the low back because there are so many diagnoses that mimic back pain (AAA, renal colic, etc), but we'll include mechanical back pain for now. To go to the joint and exam you need just scroll down. Pediatric injuries have their own flavor and won't be covered here, sorry. Stay tuned to though for a true "Orthopaedia" review in the future.

Of course, there are two types of orthopedic complaints, atraumatic (mostly inflammatory like bursitis, arthritis, etc) and traumatic (fractures, dislocations, and the like). Most, but not all, important diagnoses in traumatic injuries will be seen on standard x-rays, but a good physical exam (PE) is imperative. You will also need to write a good note and actually examine the patient's neurovascular status as well as test all pertinant the tendons and ligaments. Even with all this some traumatic injuries may have normal or nearly normal x-rays, yet need surgical interventions so you will need to know these special situations. As usual, I have leaned on the internet's best teachers to show you the finer points. Thanks to all you who write and post excellent education.


The "most important" orthopaedic emergency....

...actually has little to do with the bones and more to do with the vessels and connective tissue. I'm talking about compartment syndrome. In my opinion this is the quintessential ortho emergency that you must think of on every presentation. Clinicians should have documentation to support just those thoughts. This would include things like...

  • Pulses/perfusion distal to the injury

  • Sensation normal distally

  • No pain on passive ROM

  • Muscle compartments soft

  • No POOP!! (pain out of proportion)

Don't miss this diagnosis by including these on every chart on every patient every time. 

Compartment syndrome usually occurs after trauma such as a fracture or crush injury but it can even be chronic. It can occur anywhere that skeletal muscle is surrounded by fascia, but most commonly

  • leg (review the leg compartments on orthobullets.com)

  • forearm

  • hand

  • foot

  • thigh

  • buttock

  • shoulder

  • paraspinous muscles

SO YOU SUSPECT COMPARTMENT SYNDROME, NOW WHAT??

  • Call for help. Your friendly orthopedic surgeon is the person who is going to need to treat this, if it is present with a fasciotomy

  • If you can, check a pressure. There is a great video provided by EM:RAP here on using a Stryker pressure monitor.

  • If the pressure >30 or if the Delta pressure is <30 (see illustration above), the patient is the danger zone.

  • Call your orthopedic surgeon for elevated pressure or low delta pressure and prep for OR fasciotomy.

So there is another “orthopeadic emergency” that is actually covered in the infectious disease section, and that is septic arthritis. Of course, patients usually present with a painful swollen joint, so you might think orthopedic injury first. Obviously, this is infectious until proven otherwise. You still might need an orthopedic surgeon for a joint washout, but I decided to put monoarticular arthritis in the ID section. 


ON TO THE COMMON STUFF...

Just remember some of the most important finding on any injury is the neurovascular status. Don't only focus on the joint and x-rays. Compartment syndrome is a clinical suspicion and plain films will not show nerve or vessle injuries. 

Page contents: Upper extremity orthopedics

  • Shoulder

  • Elbow

  • Wrist

  • Hand


The Shoulder

ATRAUMATIC SHOULDER PAIN:

By far and away this is going to be shoulder impingement syndrome which is really a catch all for subacromal bursitis and/or supraspinatus tendonitis. This is further discussed below. One hallmark for this is pain at night sleeping on the affected side and exam shows pain with anything that decreases the space in the subacromial area (i.e. empty can and Hawkins maneuver). Other subtle diagnoses to consider would also include proximal biceps tendonitis with pain in the same area but instead a Speed's test is positive or just resisted elbow flexion and supination (remember the biceps is the primary supinator) causes pain. If there is bruising and a Popeye arm deformity consider a biceps muscle or tendon rupture. Biceps tendon rupture can be proximal or distal so a patient may present with anterior shoulder pain and have the muscle deformity there. Patients can also have tendonitis of any of the other rotator cuff muscles (remember your SITS muscles), but this is much less common. Mostly document good movement of these muscles to assess for adhesive capsulitis. This can be done with the lift off test and resisted external rotation with arms at sides and elbows at 90 degrees. A full list of special tests can be found on Medscape.

Review your anatomy here at WebMD if you are rusty. The page also includes a list of common diagnoses.

What to document:

  • R or L hand dominant (arthritis/bursitis) more likely on overused side

  • Pain at night and with overhead movement, think impingement

  • Any biceps deformity or pain on exam could indicate a biceps etiology

  • Speed's test is for proximal biceps tendonitis and should be done while palpating the proximal tendon in the bicipital groove. It can also indicate a labral tear as this is where the long head of the biceps tendon inserts.

  • Empty can test decreases subacromial space and is for impingement syndrome. A painful Neer's impingment or Hawkin's test do the same.

  • Test internal and external rotation of the shoulder as well with the lift off test (dorsum of hand on low back and lifted off) and the resisted internal rotation with the arm abducted and elbow at 90 degrees.

  • Feel a radial pulse and test elbow and wrist flexion/extension

  • A frozen shoulder (adhesive capsulitis) will have decreased ROM passively, many other etiologies can have decreased active ROM due to pain.

What to do:

  • A sling is fine in the short term but can lead to frozen shoulder particularly in the elderly.

  • Encourage early ROM exercises like pendulum swing.

  • Often pain will be chronic and need a PT referral, inform patient to f/u with PCP or orthopedist if not improved with conservative measures.

  • Strengthening of the rotator cuff muscles is helpful in many conditions so as long as not worsening pain with the exercises start rotator cuff muscle strengthening. This is a reasonably good educational video for patients and providers to treat impingement syndrome.

  • This is another great guide for shoulder rehab that you can print and send home with patients.

What not to miss:

  • A complete rotator cuff tendon tear. This will usually be the supraspinatus muscle and patient will not be able to abduct the first 15 degrees. They may compensate with shoulder hiking and will have a positive arm drop.

  • Biceps pathology such as a tear that may delay appropriate diagnosis and treatment.

  • Any neurologic or vascular injury.

  • Of course, any medical diagnosis (such as ACS) that might mimic or have associated shoulder pain. A good history and PE should clear this up so be thorough.

TRAUMATIC SHOULDER INJURY:

Be sure to get a Y view as pointed out by this great article on posterior dislocation on https://litfl.com/posterior-shoulder-dislocation/

It’s likely to miss an anterior shoulder dislocation, proximal humerus fracture or humoral neck fracture (BTW it's the surgical neck not the true humoral neck) on x-ray. An exception being a posterior dislocation which can be missed on just an AP view (see image right). Also because there are a bunch of different ways to reduce a shoulder, I won't go into the debate here, but just know if there are multiple ways to do something there is no one best way so find a technique and get good at it. Subtleties to these exams include documenting sensation over the lateral deltoid which shows the axillary nerve is functioning as it is often damaged with dislocation or fracture.

Of course, always document neuro and vascular status distally as the brachial artery and the arm nerves run close to the humerus. A clavicle fracture is the most common of all the traumatic shoulder injuries and should be evident on exam and confirmed on x-ray. I've never met one that couldn't go home for outpatient follow-up but check to make sure it's not an open fracture or the skin is tented and blanching and soon to be an open fracture. Those would need immediate surgical reduction.

An AC joint separation, can be difficult to pick up on plain films so consider looking at the contralateral side for comparison and if mechanism and exam is strongly indicative my be a grade I. Knowing the grades of AC joint separation not all that important as you could sling them all and send them to ortho outpatient.

Having a quick neuro exam of the hand/fingers is a good way to ensure proximal peripheral nerve function is okay. You can make up your own or memorize this quick exam of the nerves of the arm

Radial nerve: sensation = dorsal hand, webspace between thumb and index finger; action = elbow/wrist/finger extension

  • Median nerve: sensation = radial border of the index finger; action = thumb abduction (thumb to index finger)

  • Ulnar nerve: sensation = ulnar border of the 5th finger; action = fifth finger abduction (spread the fingers)

  • Musculocutaneous nerve: sensation = mid lateral forearm; action = elbow flexion with supination (to isolate the biceps brachii)

  • Axillary nerve: sensation = over insertion of the deltoid muscle; action = shoulder abduction

  • Bonus: pinch the thumb on the fifth finger to assess median and ulnar nerve motor function at the same time!!!

What to document: 

  • Complete neuro exam: discussed above

  • Vascular exam including distal pulses and capillary refill.

  • Bony tenderness or deformity (compare to contralateral side). This should include at a minimum cervical spine, spine of the scapula, clavicle, AC joint, acromium

  • Soft tissue deformity, or lack thereof. Classically the squaring of the deltoid with anterior dislocation.

  • Active and passive ROM. If any intervention such as reduction is performed document ROM before and after.

What to do:

  • Get X-rays duh! Probably not a good idea to try to reduce a supposed dislocation that is really a fracture.

  • Treat for pain. Sometimes moving the joint for radiographs and of course interventions such as reduction need appropriate pain control up to procedural sedation.

  • Call for expert advice in anything that you don't routinely handle. My rule of thumb is call a consultant surgeon for anyone that is going to eventually need surgery.

What not to miss:

  • Nerve or vascular injury. Particularly fractures can lacerate important structures like an artery. The axillary nerve (see below) is the most common nerve injury from dislocation. It provides sensation of the lateral deltoid. Document sensation here before the patient goes home (that means before and after reduction).

  • Secondary injury such as head or neck. If there is enough force to dislocate or fracture then perform a full physical (such as an ATLS secondary survey) to look for concomitant injuries.

 

Example documentation of the PE:

Musculoskeletal: The *** shoulder is *** swollen or deformed on inspection. The range of motion is full/limited to *** because of the pain. There is good abduction without shoulder hiking and no arm drop when compared to the contralateral side. There is *** tenderness of the clavicle, a.c. joint, or spinous scapula. There is *** tenderness inferior to the acromion in the area of the supraspinatus tendon and bursa. Empty can test is ***. Hawkin's test and Neer impingement test is ***. Speed's test is ***. There is *** internal and external rotation as tested by lift off and resisted external rotation with arm in adduction. Sensation intact over the lateral deltoid and down to the fingertips including the palm and dorsum of the hand. Positive radial pulse. Normal range of motion and 5+ strength to flexion and extension of the wrist and elbow. Fingers are warm and well perfused with good capillary refill.


The Elbow

ATRAUMATIC ELBOW PAIN:

Most often this can be diagnosed in 30 seconds with point tenderness and resistance of wrist flexion and extension. This is because the most common tendonitis or overuse injuries at the elbow are actually the insertion of the common flexor and common extensor tendons of the wrist and hand. Medial epicondylitis (i.e. Golfer's elbow) is tenderness at the medial epicondyle and pain there with resisted elbow flextion, while lateral epicondylitis (Tennis elbow) is pain at lateral epicondyle with palpation and resisted wrist extension. No x-rays are required and wrist splinting with pressure bands at the proximal tendon with ice and NSAIDs are the treatment of choice. Of course, the biceps and triceps tendons can have tendonitis and this is demonstrable on exam as well. There will be tenderness of these tendons and pain with resisted movement. The triceps is responsible for elbow extension and the biceps brachii can be isolated by having the patient flex the elbow and supinate against resistance (I grasp their hand like a handshake to add resistance). Sometimes olecranon bursitis results without trauma or very mild trauma and is again easy to see, palpate, and diagnose. Much consternation arises with aspiration of these bursa or not, so I will duck out of the debate and say that rarely would I aspirate because those whom I am concerned have a septic bursa look like there could be overlying cellulitis and I don't want to seed a sterile inflamed bursa. Call your local orthopedist for advice.

What to document:

  • R/L handedness and any repetitive movement in occupation or recreation that could cause the symptoms.

  • Specific location of the tenderness and what elicits the pain as a epicondylitis can be subtlety different from a biceps or triceps tendonitis.

  • Always the vascular status distally (i.e. radial pulse)

  • Always the neuro function at the joint and distally.

What to do: 

  • Test for elbow pain with wrist flex/extension. As mentioned the common flex/ext tendons insert at the elbow.

  • X-rays are rarely absolutely necessary but do add to the diagnosis as sometimes you could catch an avulsion fracture

  • Start NSAIDs and ice. This usually will dramatically decrease pain. I like to have patients freeze small paper cups of water and rub them on the areas of pain.

What not to miss:

  • A full tear of the distal biceps. Flexion can be achieved with the brachioradialis so assess in full supination and with resisted supination compared to the contralateral side. Long term tendonitis or medications can weaken the tendon making the full tendon tear a relatively atraumatic event.

  • Same can be said for triceps tendon tear. Be sure to take gravity out of the equation when testing the triceps strength. Thankfully this is the only extensor.

Example PE for epicondylitis:

Musculoskeletal: The *** elbow is exquisitely tender over the *** epicodyl. Full flexion and extension of the elbow. Wrist flexion and extension exacerbates the pain but is intact. No tenderness over the olecranon or triceps brachii tendon. No swelling of the olecranon bursa. The shoulder is not swollen or deformed on inspection and range of motion is full. There is no bony tenderness along the radius or ulna distally. Sensation intact over the lateral deltoid and down to the fingertips. Positive radial pulse. Normal range of motion and 5+ strength to flexion and extension of the wrist and elbow. Fingers are warm and well perfused and sensation intact.

A review of the bony features of the elbow.

TRAUMATIC ELBOW INJURY

Most commonly from a FOOSH (fall on outstretched hand) injury, the radial head fracture is the winner of the most common injury in this joint. With the aforementioned mechanism and tenderness over the radial head (and pain with pronation/supination), have a low threshold to diagnose with occult fracture (even if one is not seen on plain films). As seen below, the presence of a posterior fat pad or sail sign indicates swelling (in this case bleeding) into the joint capsule and could indicate a radial head fracture and thus should be treated as such until proven otherwise. By way of review, a posterior fat pad seen on lateral films is never normal and an anterior fat pad can be normal but shouldn’t be a large triangle like a sail anteriorly. Little did I know, but you can also get a radial head-capitellum view plain x-ray in addition to standard views to pick up a few more radial head fractures not seen on initial films. Plain films are not perfect so  splint all your patients with a strong likelihood of radial head fracture by history, exam, and/or x-rays in a long arm splint at 90 degrees flexion down to the wrist to prevent pronation and supination. These patients should be seen by ortho urgently as they might need surgery.

Other traumatic injuries include olecranon fracture and elbow dislocation. Both are easily seen on x-rays. The former occurs usually with a fall directly onto a flexed elbow (the x-ray finding and exam is obvious) and the latter takes substantial force to dislocate this relatively stable joint (and it takes a fair amount of force to reduce as well).

I have found the technique to the right to be the most effective, but if less muscle mass the other techniques would work.
 

What to document:

  • R/L handedness

  • Mechanism of injury

  • Radial pulse and capillary refill distally

  • Neuro exam of the wrist and hand

  • Bony tenderness or deformity of the medial/lateral epicondyl, olecranon, radial head and down the radius and ulna to the wrist.

What to do:

  • Splint fractures and suspected fractures at 90 degrees flexion. Per usual check and document neurovasc status after application

  • Provide pain relief up to procedural sedation for elbow reduction

What not to miss:

  • Test the radial, ulnar, and median nerves separately (see above) as they all cross the joint and could be injured in trauma

  • Feel radial pulse distally and consider an Allen test for possible ulnar artery injury.

  • Always think potential compartment syndrome and look for signs as well as warm patient of symptoms and when to return for a recheck.

Example PE for elbow trauma:

Musculoskeletal: The *** elbow has *** deformity. There is bony tenderness over the ***. Flexion and extension of the elbow is limited to ***. Strong wrist flexion and extension. No swelling of the olecranon bursa. The shoulder is not swollen or deformed on inspection and range of motion is full. There is no bony tenderness along the middle and distal radius or ulna. Sensation intact over the lateral deltoid and down to the fingertips including the palm and dorsum of the hand. Positive radial pulse. Normal range of motion and 5+ strength to flexion and extension of the wrist and fingers including finger adduction and abduction with good opposition of the thumb. Fingers are warm and well perfused and sensation intact.


The Wrist

ATRAUMATIC WRIST PAIN

Not a common complaint. Think tendonitis. Some people might have a ganglion cyst easily palpated on exam. Carpal tunnel impingement occurs in the wrist but usually presents with hand symptoms. Ask about previous fractures or surgeries because a change in anatomy can be a set up for tendon irritation. Most of the common tendonitis presentations will be discussed below in the hand section. 

TRAUMATIC WRIST INJURY

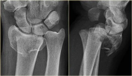
Frequently quoted to be the second most common fracture, a distal radius fracture is by far the most common fracture I see in the ED (maybe all those clavicle fractures get seen in the PCP's office). This fracture comes in many types depending on the mechanism and age (i.e. fragility) of the patient. Common types include: Colles', Smith's, dorsal and volar angulated Barton's (line one below), Die-punch, Chauffeur's, and ulnar styloid (line two plus an impacted intra-artciular comminuted distal radius and ulna styloid fracture) to name a few.  And this is excluding the common pediatric greenstick or torus fractures. Of course, any fracture should be described thoroughly as intra or extra-articular, angulated, impacted, and/or displaced. All of the following images are form The Radiology Assistant and while in a little more depth than you may need, I think it is worth a read. 

Practice finding your own navicular in the snuffbox by placing your thumb there and ulnar deviating the wrist a bit.

Most wrist injuries are going to come in after a FOOSH. Obviously all the above fractures are named after their radiographic findings so you will not miss them, but you can miss a particularly dangerous fracture, the occult scaphoid (aka navicular) fracture, because it does, by definition, not show up plain films. Therefore, you must press on the anatomic snuffbox of every patient after a FOOSH (I document this on every fall even without wrist pain). 

While the sneaky scaphoid fracture gets a lot of attention, there can be other carpal bones injured in FOOSH injuries. In particular, pain at the hypothenar side (opposite the scaphoid) can be a fracture of the hook of the hammate or pisiform fracture. Ever get a carpal tunnel view? Me neither, but the next time I see a patient point tender over the carpals at the base of the hypothenar hand I will get this view.  For more about a hook of hamate fracture, check out orthobullets. I didn’t know these often come with direct trauma from a bat or golf club held over this vulnerable bone.

Learn more about the Terry Thomas sign - https://litfl.com/terry-thomas-sign/

What to document: 

  • R/L handedness

  • Radial pulse and capillary refill of all digits

  • Median, radial, and ulnar nerve sensation (two point discrimination) and motor function

  • Any gross deformities

  • Snuffbox tenderness, or lack thereof

  • Elbow and shoulder exam as discussed above, especially the radial head which can also have an occult fracture so press on it!

What to do: 

  • Get x-rays for trauma as usual

  • Call ortho for any displaced or open fractures that will need the OR

  • Use the contralateral, uninjured snuffbox as a guide to true tenderness. This exam is not comfortable at baseline.

  • Think about special x-rays (like carpal tunnel view for hypothenar wrist tenderness or the clenched fist view for scapholunate dissociation).

  • When in doubt splint and re-radiograph in a week or two. This is usually the way a true navicular fracture is found and there are some subtle variations of fractures, particularly intra-articular that can be missed initially and cause problems down the road.

What not to miss:

  • Compartment syndrome! This should run through your mind on any and every fracture. The forearm and hands are more common places for compartment syndrome.

  • Occult scaphoid/navicular fracture. I think I've said snuffbox enough. Make sure it ends up on your charts.

Example PE for traumatic wrist injury:

*** Arm: There is swelling and tenderness of the distal radius and *** obvious deformity of the distal forearm. The skin is intact. Flexion, extension, adduction, abduction of the fingers and thumb including opposition is intact. The fingers are warm and well perfused with good capillary refill. Full range of motion of the elbow without pain. Full range of motion of the shoulder without pain. Clavicles are nontender bilaterally.

All other joints demonstrate normal exams


The Hands

ATRAUMATIC HAND PAIN

Not a lot of atraumatic hand pain complaints coming to the ED. The hands are a focal area for soft tissue infections, but that belongs more in different lecture. As for musculoskeletal problems, of course, any joint or tendon can develop arthritis or tendonitis, and this will be evident on exam. Osteoarthritis will rarely present to the ED, and rheumatoid or gouty arthritic patient's usually carry this diagnosis with them.  Any tendon can also be irritated and cause pain. A review of the many tendons is seen below.

The extensor pollicus longus and brevis are two of the more common tendons (and sheaths) aggravated by repetitive microtrauma. This inflammatory process is so common that it gets its own special name of de Quervain's tenosynovitis (see a great review article at Medscape) and its own set of equally esoteric maneuvers (which I commonly confuse) named the Finkelstein and Eischoff tests. For a quick review of these check out this wikipage.

There is one more relatively common atraumatic hand presentation not discussed. See if you can guess by the example documentation below. For a review of this topic click here.

Example PE:

*** Arm: Skin is intact with no ecchymosis or erythema. Normal movement of all of the joints of the hand including adduction, abduction of the digits, flexion and extension of all of the joints of the fingers with good thumb opposition to the 5th finger. No atrophy over the greater thenar eminence. Sensation intact over the radial, ulnar, and median nerve distributions. Capillary refill <2 seconds at all fingertips. *** Tinnel's test over the wrist with a positive Phalen maneuver after about 30 seconds. No wrist or elbow tenderness with full ROM of theses joints.


TRAUMATIC HAND INJURIES

(If you have worked in EM for any period of time, you have seen a lot of cuts and crush injuries to the hands and fingers. Most important here is to look for nerve and/or tendon injuries. This is a fundamental of all wound evaluation but especially important on the hand because the tendons and are so close to the surface making them easy to injury and if injured and not repaired or healed properly can result in major disability. Obviously every hand injury should be explored through the full ROM of all the joints at or distal to the wound. 

The best illustration of this is the fight bite injury. This occurs as illustrated and can injure the skin, extensor tendon, and open the joint. All can then be exposed to oral flora that can result in devastating infections. Make sure to examine these and other similar injuries through the full ROM to see if and where the extensor (or in other cases, the flexor) tendon is injured and if the joint space is invaded it likely needs a washout in the OR. 

Other extensor tendon injuries are also very common in the ED. All of these are discussed at ALiEM, and is a great review of more information than can fit here. One thing to highlight is the Elson's test for extensor hood injury. This is easily missed but can lead to a permanent boutonnierres deformity. Check out the video below and lacerationrepair.com for more. 

The modified Elson test from Dr. Brian Lin. Try it on yourself! A is normal: B is abnormal 

Other trauma can result in closed tendon rupture or joint dislocation. Commonly the PIP joint is dislocated dorsally and can be reduced with axial traction easily. A volar dislocation is less common and causes more injury. Both should be splinted volar dislocation definitely sent to hand surgeon (this site provided the picture and the advice). 

A mallet finger is a rupture of the extensor tendon at the DIP joint (thanks to 3pointproducts.com for the picture and you can see a type of splint you can use for this) and a jersey finger is rupture of the flexor digitorum profundus (this site provided the picture and some good patient info) and both can have associated avulsion fractures so always get x-rays, splint, and send to hand specialist. A gameskeeper or skier's thumb is a torn ulna colateral ligament of the MCP joint of the thumb (thanks again 3pointproducts.com). This injury is special because unlike other ligament injuries around the joints of the hand, it may not heal without surgery and can lead to a weak grip. 

If any teenage boy presents with "atraumatic" pain and swelling over the 5th metacarpal, get an x-ray regardless. They might just be lying because mom is in the room.  https://radiopaedia.org/cases/boxer-fracture-19

There are so many more ways to injure a hand, I don't have time to mention them all. Lastly I will show you the boxer's fracture. Quiz yourself on this at one of my favorite sites lifeinthefastlane.com, and thanks for the radiography. 

Exam PE:

Extremities: There is tenderness over the 4th and 5th metacarpals of the *** hand. There is no laceration or bleeding. There is *** ecchymosis and swelling. Flexion and extension of all of the fingers is full and strong but pain with extension of the 4th and 5th fingers. There is normal finger cascade. Patient is able to flex and extend, abduct and adduct all of the fingers and thumb including good opposition of the thumb. Sensation and capillary refill intact distally. No other injuries.





Next
Next

Emergency Ortho: Wrist